Približno tretjina odraslih v Sloveniji živi s hipertenzijo
O tem dejavniku tveganja za srčno-žilne zaplete ozaveščamo 17. maja, na svetovni dan hipertenzije.
O tem dejavniku tveganja za srčno-žilne zaplete ozaveščamo 17. maja, na svetovni dan hipertenzije.
Mestna občina Koper se je danes formalno zavezala, da bo postala dojenju prijazno mesto.
Zasebni zdravniki in zobozdravniki smo in ostajamo trden ter stabilen del slovenskega tako javnega, kot zasebnega zdravstva.
Poslanica ministra Daniela Bešiča Loredana ob mednarodnem dnevu medicinskih sester.
Spremljanju elektrokardiograma bo dodano opozorilo o nepravilnem srčnem ritmu, kar uporabnikom omogoča nemoteno spremljanje nepravilnih srčnih ritmov.
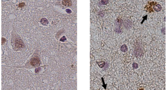
Izsledki raziskave omogočajo nov pomemben vpogled v vzroke nastanka FTD in razvoj novih strategij za zdravljenje te bolezni.
V javnosti so se pojavili neupravičeni očitki o nepravilnostih pri vodenju seje sveta zavoda UKC Maribor z dne 8. 5. 2023.
Tedros Adhanom Ghebreyesus je sporočil, da COVID-19 ne predstavlja več izrednega stanja na področju javnega zdravja mednarodnega pomena.
Delavci, ki se soočajo z velikim stresom in delovno preobremenitvijo, so bolj nagnjeni k uživanju prepovedanih drog.
Nakupa dvigala si žal ne morem privoščiti, saj starša nimata visokih plač, sama pa sem zaradi invalidnosti težko zaposljiva, trenutno brezposelna.