Ljubljana, 9. maj 2023 – Mednarodna skupina raziskovalcev iz Slovenije, Nemčije in Nizozemske je v članku, objavljenem v ugledni reviji Brain, odkrila modifikacijo (spremembo) proteina FUS, ki je udeležena pri zgodnjem razvoju obolenja frontotemporalne demence (FTD). Izsledki raziskave omogočajo nov pomemben vpogled v vzroke nastanka FTD in razvoj novih strategij za zdravljenje te bolezni.

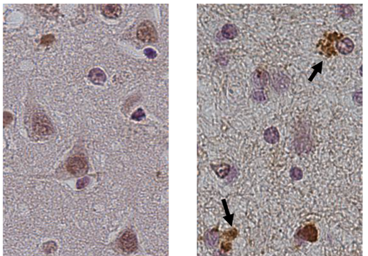
Postopno odmiranje živčnih celic je vzrok demence in drugih nevrodegenerativnih bolezni. Z molekularno-patološkega vidika v možganih teh bolnikov prihaja do nenormalnega kopičenja nekaterih proteinov na napačnem mestu v živčnih celicah. Do tega prihaja zaradi prekomerne proizvodnje teh proteinov, kopičenja na napačnem mestu ali pa njihove okrnjene razgradnje in odstranjevanja iz celic. Ravnotežje med sintezo in razgradnjo proteinov je namreč nujno za proteostazo oziroma uravnotežen nivo proteinov in posledično normalno delovanje celic. Izguba proteostaze, na račun nepravilnega razporejanja različnih proteinov, med drugim tudi proteina FUS, je vzrok mnogih nevrodegenerativnih obolenj. Poleg sprememb v sintezi in razgradnji proteina FUS, njegovo nepravilno kopičenje v živčnih celicah lahko povzročijo tudi njegove mutacije ali pa modifikacije, do katerih pride šele po njegovi sintezi. Ena izmed njih je fosforilacija, kjer vezava fosfata na nekatere aminokisline, lahko močno vpliva na delovanje proteinov. Že v preteklosti smo v laboratoriju na Institutu »Jožef Stefan« pokazali, da fosforilacija zadnje aminokisline tirozina v proteinu FUS onemogoča pravilno razporejanje tega proteina v jedro živčnih celic. S tem pospeši njegovo nepravilno kopičenje izven jedra v citoplazmi in odrastkih živčnih celic, kjer zaradi povišane koncentracije protein FUS prične agregirati in tvoriti netopne toksične vključke, ki povzročijo smrt celic. Ob množici raziskav mutacij proteina FUS so bile modifikacije in mehanizmi nemutiranega proteina FUS, ki povzročajo tvorbo toksičnih agregatov FUS, in smrt živčnih celic pri frontotemporalni demenci (FTD) slabo raziskani.

Raziskovalci so razvili specifičen detektor (protitelo) za fosforilirano zadnjo aminokislino proteina FUS in z napredno mikroskopijo razkrili vzorec razporejanja topnega in netopnega proteina FUS v celicah, ki ga z doslej znanimi komercialno dostopnimi detektorji ni bilo možno zaznati. Podrobneje jim je uspelo ovrednotiti učinek fosforilacije FUS s strani encimov Src, Fyn in Abl na razporejanje FUS v nevronih sprednje skorje možganov in dokazati direktno vpetost encima Abl v povečan privzem modificiranega FUS v agregate. Ugotovili so, da encim Abl v pogojih stresa aktivno sodeluje pri napačnem razporejanju proteina FUS v živčnih celich, kar so podali kot nov osnovni mehanizem nastanka in napredovanja FUS-FTD obolenja. Raziskavo so izvedli raziskovalci doc. dr. Helena Motaln in mlada raziskovalka Urša Čerček pod vodstvom prof. dr. Borisa Roglja z Odseka za biotehnologijo Instituta »Jožef Stefan« in Fakultete za kemijo in kemijsko tehnologijo Univerze v Ljubljani v sodelovanju z raziskovalci iz Nemčije in Nizozemske. Raziskava je financirana s strani ARRS.